Nyitvatartás: H-CS: 8:00-18:00, P: 8:00-14:00

Csontpótlás

Adjon alapot az önfeledt mosolyának és az implantátumának!

A hosszú ideig tartó foghiány és a rágás fizikai behatásának hiánya miatt a csont elveszti megtartó funkcióját: elvékonyodhat vagy felszívódhat

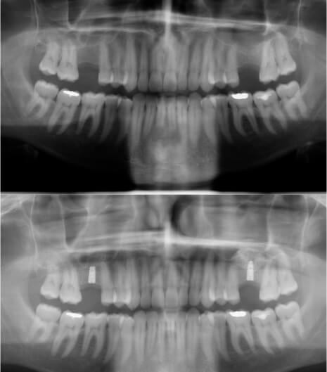
A fogászati csontpótlás egy olyan eljárás, amely során pótoljuk a hiányzó csontszövetet az állcsontban, hogy biztos alapot hozzunk létre a fogászati implantátumok beültetéséhez.

A csont adja a fogak és az implantátumok rögzítését. A csontot magát pedig a rágás mechanizmusa tartja meg. Így amikor foghiány keletkezik, és az elvesztett fog helyén megszűnik a rágás okozta fizikai behatás, akkor a csont elkezd vékonyodni, alacsonyodni, majd felszívódni, mivel funkcionális jelentősége már nincs.

Ahogy a saját fogát, úgy az implantátumot is a csont tartja a megfelelő, stabil pozícióban. Emiatt fontos, hogy az implantáció a lehető leggyorsabban megtörténjen a fog elvesztése – és a seb gyógyulása – után. Ahogy az is fontos, hogy az implantátum erős alapra épüljön.

A fogászati csontpótlás egy összefoglaló elnevezés, mely alatt több, egymástól teljesen eltérő technikát értünk. Vannak egyszerűbbek, vannak bonyolultabbak, és különbözhetnek a felhasznált csontpótló anyag típusában is. A műtéti tervezés során a szakorvos dönt arról, hogy mely módszer és anyag lesz Önnek a legmegfelelőbb.
Az alsó állcsontban többnyire a csont szélessége, a felsőben leggyakrabban a magassága szokott problémát okozni. Mindkét helyzetre vannak megbízható megoldások, amelyek hosszútávon tudják az odakerülő implantátumok stabilitását garantálni. 

Csontpótlás nélkül tehát több esetben kivitelezhetetlen lenne az implantálás.

Mikor lehet szükség fogászati csontpótlásra?

Régóta hiányzó fogak esetén

Ha egy fog hosszabb ideje hiányzik, az állcsont elkezdhet sorvadni, mivel a rágás által biztosított stimuláció megszűnik.

Vékony vagy gyenge a csontállomány

Bizonyos páciensek esetében az állcsont természetesen vékonyabb, alacsonyabb, mint ami az implantációhoz szükséges.

Kiterjedt gyulladások, trauma esetén

Korábbi, nagy fogászati gyulladások vagy sérülés, trauma miatt elvesztett csontmennyiség pótlásakor.

Pótoljuk a hiányzó csontszöveteket az állcsontban, hogy stabil alapokkal indulhasson a tartós mosolyért

A fogászati csontpótlás előnyei
Stabil alapot ad az implantátumoknak

A csontpótlás biztosítja a megfelelő csontszélességet és vastagságot, hogy az implantátumok behelyezhetők legyenek, stabilan rögzüljenek.

Hosszú távú megoldást nyújt

Az újonnan képződő, élő csontszövet elősegíti az állcsont egészséges működését, az implantátumokon keresztül megelőzi annak további sorvadását, és hosszú távú eredményt biztosít.

Esztétikai javulást okoz

A csontpótlás nemcsak az implantátumok rögzítéséhez szükséges, hanem a fogak körüli ínyszövet, vagy az arc természetes kontúrjának visszaállításában is segít, különösen akkor, ha a csontvesztés miatt az arc beesetté vált.

A fogászati csontpótlás menete

1
Konzultáció és diagnózis

A beavatkozás megkezdése előtt alapos állapotfelmérést végzünk, amely során rendelőnkben rutinszerűen 3D CT felvételekkel meghatározzuk a csontkínálatot.

2
Műtéti tervezés

A digitális 3D felvételek alapján eldöntjük, hogy mely csontpótlási módot, illetve, ehhez milyen csontpótló anyagot fogunk használni. A páciens korábban kihúzott saját (pl. bölcsesség) fogából rendkívül jól gyógyuló anyagot tudunk egy erre kifejlesztett géppel előállítani. Akkor is van világszerte rendkívül megbízhatónak tartott anyagunk a fiókban, ha esetleg nem áll rendelkezésre saját foganyag.

3
Szájsebészeti beavatkozás

A teljesen fájdalommentes csontpótlás során a csontpótló anyagot behelyezzük az érintett területre, majd időt adunk a szöveteknek, hogy beépüljenek és erősödjenek. Ez az időszak műtéti típustól és felhasznált anyagtól függően 3-9 hónapig tarthat.

4
Implantáció és/vagy gyógyulás

Az esetek nagy részében az implantátum a csontpótlással egyidőben, ugyanazon műtét során kerül beültetésre. Az esetek kisebb részében a csontpótlás külön műtétként megelőzi az implantációt, és arra a fenti gyógyulási idő után kerülhet csak sor. Mindezekről a műtéti tervezés során kap tájékoztatást.

Tegye meg az első határozott lépést a stabil, erős fogsora felé!

A fogászati csontpótlás segít helyreállítani a csontok egészségét és tartós, megbízható alapot nyújt a fogpótláshoz akár hidak, koronák, protézisek esetén.

Adjunk alapot a mosolygásra!

Kellemes Karácsonyi Ünnepeket és Boldog Új Évet kívánunk minden Páciensünknek! Rendelőnk december 20-a és január 5-e között zárva lesz. Nyitás 2026.január 5-én 8 órakor. Sürgős esetben e-mailben elérhetőek leszünk. Megértésüket köszönjük.